편도결석은 많은 사람들이 겪는 문제 중 하나입니다. 저도 예전에 편도결석에 걸려서 치료를 받은 적이 있었는데요. 특히 사회생활하는 사람들에게는 힘들게 하는 질환입니다. 그래서 이 작은 결석들이 입안에서 발생하는 원인이 무엇인지, 그리고 이를 예방하는 방법이 무엇인지까지 알아보도록 하겠습니다.

1. 편도결석 원인
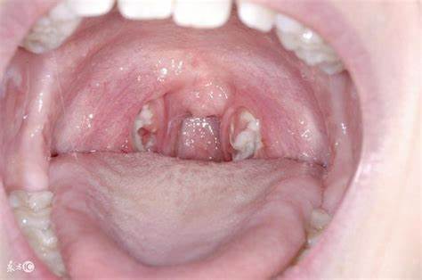
편도결석은 편도선에 박힌 음식 찌꺼기, 세균, 백혈구 등이 굳어져 생기는 작은 입자입니다. 이러한 결석은 주로 입 냄새의 원인이 되며, 때로는 삼키거나 말할 때 불편함을 유발할 수 있습니다.
✅ 음식 찌꺼기와 세균
편도선은 구강 내에 위치하며, 면역 체계의 일부로 작용하여 세균이나 바이러스 등 유해한 요소들을 걸러냅니다. 그 과정에서 입안에 섭취한 음식물 잔여물이 편도선의 작은 틈이나 홈에 끼게 될 수 있습니다. 이곳에 세균이 번식하면서 음식물 잔여물과 함께 굳어지게 되고, 이것이 바로 편도결석을 형성하는 주된 과정입니다. 이러한 결석은 대체로 황백색을 띠며, 작은 크기로 존재합니다.
✅ 구강 위생 부족
정기적인 칫솔질과 구강 청결은 입안의 세균 양을 줄이는 데 중요합니다. 하지만 구강 위생이 제대로 유지되지 않을 경우, 세균이 증식하기 쉬운 환경이 조성됩니다. 이로 인해 편도결선에서 세균과 음식물 잔여물이 굳어지면서 결석이 형성될 확률이 높아집니다. 따라서 일상적인 구강 위생 관리는 편도결석을 예방하는 데 있어 매우 중요한 역할을 합니다.
✅ 건조한 입
충분한 수분 섭취는 입안을 촉촉하게 유지하며 세균의 증식을 억제하는 데 중요합니다. 하지만 수분 섭취가 충분하지 않을 경우, 입안이 건조해지게 되고 이는 세균이 번성하기 좋은 환경을 조성합니다. 입안의 건조함은 또한 침의 분비를 감소시키며, 침은 자연적으로 입안의 세균과 음식물 잔여물을 씻어내는 역할을 합니다. 따라서 건조한 입은 편도결석 형성의 위험을 증가시킵니다.
👉 편도결석의 원인 확인을 통해 제거하는 방법까지 같이 살펴보시기 바랍니다!
2. 편도결석 증상
편도결석이 생겼을 때 나타나는 증상은 다양합니다. 그중에서 대표적인 증상은 6가지로 나타나게 됩니다.
✅ 입 냄새
편도결석은 입 냄새의 가장 흔한 원인 중 하나입니다. 결석에는 세균과 음식 찌꺼기가 포함되어 있어, 분해되면서 악취를 발생시킵니다.
✅ 목의 불편함
크기가 커진 편도결석은 목에 이물감을 유발할 수 있습니다. 마치 목에 무엇인가 걸린 것처럼 느껴질 수 있으며, 때로는 삼키는 행위에 불편함을 줄 수 있습니다.
✅ 통증
편도결석이 있는 부위에 통증이 발생할 수 있으며, 경우에 따라서는 귀 쪽으로 통증이 확산될 수도 있습니다.



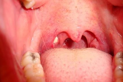
✅ 편도선의 붓기
결석이 생기면 편도선이 염증을 일으키고 붓기가 생길 수 있습니다. 이로 인해 목 부위에 불편함이나 통증이 발생할 수 있습니다.
✅ 어려운 호흡이나 삼키기
크기가 큰 편도결석은 호흡이나 삼키기를 어렵게 할 수 있습니다. 이는 특히 밤에 수면 중에 더욱 문제가 될 수 있습니다.
✅ 목소리 변화
편도결석이 목에 끼어 있을 경우, 목소리의 변화를 유발할 수 있습니다. 목소리가 쉰 것처럼 들리거나 발음이 명확하지 않을 수 있습니다.
3. 편도결석 자연 치유 방법
편도결석은 때때로 자연적으로 치유되거나 몸 밖으로 배출될 수 있습니다. 자연 치유를 돕기 위해 시도해 볼 수 있는 몇 가지 방법은 다음과 같습니다
☑️ 충분한 수분 섭취
몸이 잘 수화되어 있으면 입안이 건조해지는 것을 방지할 수 있으며, 이는 결석 형성을 줄이는 데 도움이 됩니다. 또한, 충분한 수분 섭취는 침 생성을 촉진하여 편도선의 홈에서 음식 찌꺼기와 세균을 씻어내는 데 도움을 줄 수 있습니다.



☑️ 적극적인 구강 위생 관리
정기적인 칫솔질과 혀 클리너 사용, 그리고 구강 세척제를 사용하는 것은 입안의 세균을 줄이고 결석 형성을 방지하는 데 도움이 됩니다. 특히 저녁에 잠자기 전에 칫솔질과 구강 세척은 매우 중요합니다.
☑️ 소금물 가글
소금물 가글은 편도선 주변의 염증을 감소시키고 세균을 제거하는 데 도움이 될 수 있습니다. 따뜻한 물에 소금을 약간 풀어서 하루에 몇 번 가글하는 것이 좋습니다.
☑️ 적절한 영양 섭취
건강한 식단을 유지하는 것은 전반적인 면역 체계를 강화하고, 편도결석을 포함한 다양한 건강 문제를 예방하는 데 도움이 됩니다.
☑️ 편도선 마사지
깨끗한 손가락이나 면봉을 사용하여 가볍게 편도선을 마사지하는 것은 결석을 느슨하게 하여 자연스럽게 배출될 수 있도록 도울 수 있습니다. 단, 너무 세게 누르면 편도선을 손상시킬 수 있으니 주의해야 합니다.






👉 위에 언급한 내용들은 개인적으로 정보를 취합하여 작성한 것입니다. 정확한 진단과 치료는 반드시 의료진과 와의 상담을 통해 이루어져야 함을 말씀드립니다.
마무리 글
지금까지 편도결석 원인에서 자연 치유 방법까지 알아보았습니다. 편도결석은 불편함을 주는 작지만 곤혹스러운 질환입니다. 대인 관계에서 위축감을 주고 자신감을 잃게 하기도 합니다. 하지만 위에서 언급한 내용을 잘 확인하고 따른다면, 편도결석에 대비할 수 있습니다. 건강한 구강 습관을 유지하고, 정기적인 검진을 통해 편도결석 없이 건강한 생활하시기 바랍니다.
♣ 같이 보면 더 좋은 글
편도선염 증상, 원인, 치료 방법
많은 사람들이 간단한 목감기로 오해할 수 있는 편도선염은 사실 편도 부위에 발생하는 염증입니다. 이는 대개 바이러스나 세균의 감염으로 인해 나타나며, 심각한 경우 다른 건강 문제로 이어
fourseason100.com
갑상선 기능 항진증 7가지 (feat. 원인)
갑상선 기능 항진증은 저하증과 반대되는 증상으로 갑상선이 과도한 호르몬을 분비하여 발생하는 질환입니다. 이로 인해 다양한 신체 증상이 나타날 수 있으며, 이 역시 삶의 질을 떨어뜨리는
fourseason100.com
어깨통증 원인 (feat. 증상)
어깨는 우리 몸에서 가장 움직임이 많은 관절 중 하나입니다. 이로 인해, 어깨 통증은 일상생활에 큰 불편을 초래할 수 있으며, 다양한 원인으로 인해 발생할 수 있습니다. 오늘 포스팅에서는 어
fourseason100.com
무릎통증 원인 알아보기
무릎이 아픈 경우, 일상생활에 큰 어려움을 겪게 됩니다. 다양한 원인들이 이런 무릎 통증을 초래하는데, 그중에서도 특히 무릎을 과도하게 사용하여 관절에 부담을 주는 경우입니다. 이는 연골
fourseason100.com







