사회생활을 하다 보면 사람을 만날 때 상대방에 대한 에티켓을 신경 쓰게 됩니다. 특히 입냄새에 주의를 하게 되는데요. 입냄새가 나는 원인은 다양하나, 주로 구강 위생 문제, 특정 음식, 흡연 등에 의해 발생합니다. 이를 해결하기 위해선 구강 위생 관리가 중요하며 무엇보다 입냄새는 우리의 건강과 자신감에 큰 영향을 미치게 됩니다, 따라서 오늘은 구강 세균 관리를 통한 입냄새 제거 대표적인 방법 7가지에 대해 알아보겠습니다.

입냄새 제거방법 7가지
1. 양치질 잘 하기
입냄새 제거를 위한 가장 기본적이면서 매일 해야 하는 일입니다. 양치질을 통해 치아와 잇몸에 끼인 음식물 찌꺼기와 세균을 닦아내야한느데 치약은 불소가 함유 (일반적으로 1000~1500ppm 추천)된 것을 사용하고, 치아와 잇몸 사이, 치주포켓까지 세심하게 닦아야 합니다. 칫솔은 45도 각도로 기울여 잇몸에서부터 치아 방향으로 쓸어내는 것이 바람직하며, 윗니는 위에서 아래로, 아랫니는 아래에서 위로 닦아야 합니다. 양치질은 하루에 최소 두 번, 특히 식사 후 30분 이후 (예전에는 3분 이내였으나 현재는 30분 이후가 대세)에 해주는 것이 가장 이상적입니다.
잇몸에서 피가 나는 이유 6가지
잇몸에서 피가 나는 증상은 누구나 겪어봤을 법한 흔한 증상입니다. 하지만 양치질을 하다가 갑자기 피가 난다면 당황스러울 수밖에 없는데요. 오늘은 이처럼 많은 사람들이 겪는 '잇몸에서 피
fourseason100.com






2. 혀 닦기
입냄새 제거에 필요한 또 다른 방법은 '혀 닦기'입니다. 혀에는 백태라 불리는 흰색의 설태가 쉽게 쌓이며, 이는 세균과 음식물 잔해로 구성되어 분해되면서 불쾌한 냄새를 내게 됩니다. 이를 제거하기 위해 혀 스크레이퍼를 사용해 혀에 축적된 박테리아와 점액층을 부드럽게 제거하는 것이 효과적입니다. 혀 뒷부분에서 시작해 앞으로 부드럽게 긁어내는 것이 좋습니다. 만약 혀 스크레이퍼가 없다면, 칫솔로도 혀를 깨끗이 닦을 수 있습니다. 혀 청소는 입냄새 관리의 중요한 부분이므로 잊지 말고 실천해야 합니다.






3. 구강 청결제 사용
입냄새를 관리하는 다른 방법으로 '구강 청결제' 사용이 있습니다. 구강 청결제는 입안의 냄새를 잠시 없애주거나 줄여주는 역할을 합니다. 민트나 허브 등의 향료가 첨가된 제품을 사용하면 상쾌한 느낌을 얻을 수 있습니다. 하지만 알코올이 함유된 구강 청결제는 잘 선택을 하셔야 합니다. 왜냐하면 입안을 오히려 건조하게 만들어 세균 증식을 돕기 때문에, 알코올이 들어있지 않은 제품을 선택하는 것이 더 좋을 것으로 생각됩니다. 구강 청결제를 사용할 때는 약 20~30초 동안 가글한 후에 물로 깨끗이 헹구는 것이 중요합니다.
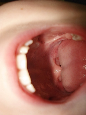
4. 편도결석 치료
편도염은 주로 항생제와 진통제 등의 약물 치료로 관리되며, 반복되거나 심각할 경우 편도 제거 수술을 고려할 수 있습니다. 방법은 결석을 압출하거나 레이저로 편도음와를 줄이는 방법 등이 있습니다.
편도결석은 음식물 찌꺼기와 세균이 뭉쳐 편도 표면에 낀 작은 알갱이입니다. 이로 인해 입냄새가 심해지고, 목에 이물감을 느낄 수 있습니다. 편도결석은 일반적으로 편도염을 제대로 치료하지 않아 발생하며, 입안 청결 유지, 수분 섭취 등이 예방에 중요합니다.
5. 충분한 수분 섭취
충분한 수분은 침의 분비를 증가시키고, 입안의 적절한 수분 상태를 유지하는데 큰 도움이 됩니다. 침은 세균의 증식을 막는 항균 작용을 하며, 입안의 pH 균형을 유지하는 중요한 역할을 담당합니다. 그러나 수분 섭취가 충분치 않으면 입안이 건조해져 세균의 활동이 활발해지고, 이로 인해 입냄새가 발생할 수 있습니다. 그러므로, 하루에 약 8~10잔의 물을 섭취하는 것이 좋습니다. 또한 녹차 같은 차 종류도 입냄새를 줄이는데 도움이 될 수 있습니다.






6. 커피, 술, 담배 줄이거나 끊기
"커피와 술, 담배는 제한해야 합니다."
커피와 알코올은 우리에게 매우 강력한 기호식품입니다. 조절하거나 끊기가 매우 어렵죠. 하지만 실제로는 구강을 건조하게 만드는 주범들입니다. 이런 음료를 즐기는 분들이라면, 꼭 섭취량에 주의를 기울이셔야 합니다.
"담배는 반드시 끊어야 합니다."
담배를 끊는 것은 구강 건강을 개선하는 가장 확실한 방법 중 하나입니다. 제 경우를 보더라도 굉장히 어려운 일이긴 했지만 저도 끊은 지 3년이 넘었기 때문에 여러분도 하실 수 있으실 겁니다. 본인의 의지로만 끊기가 어렵다면 금연에 대한 다양한 솔루션이 있으니 찾아보는 것도 좋은 선택이 될 수 있습니다. 금연에 도전해 보세요.






7. 정기적인 치과 방문
정기적인 치과 방문은 단순히 치과 진료를 받는 것이 아닙니다. 치아 문제를 조기에 발견하고, 이를 적절하게 해결하며, 더 나아가 치아 건강을 최적의 상태로 유지하는데 큰 도움이 됩니다. 특히 스케일링은 1년에 1번 건강보험 적용을 받을 수 있고 본인 부담률 30%로 받을 수 있습니다. 이를 통해 구강 건강을 지키는 것은 물론, 미소를 더욱 빛나게 할 수 있습니다.
건강검진 대상자 확인 및 병원 조회 방법
안녕하세요 오늘은 건강검진 대상자 확인 및 병원 조회 방법에 대해 알아보도록 하겠습니다. 국민건강보험 공단이 주관하는 건강검진은 대개 2년마다 무료로 이용하거나 소정의 본인 부담금을
fourseason100.com






마무리 글
입냄새 제거를 위해 7가지 방법을 소개했습니다. 커피와 술의 섭취 제한, 충분한 수분 섭취, 담배를 끊는 것, 그리고 꾸준한 치과 방문 등. 이 모든 것들이 구강 건강을 지키는 첫걸음입니다. 물론 모든 것이 실천하기 쉽지는 않습니다. 하지만 이제 이 방법들을 실천하여, 다른 사람을 만날 때에도 더욱 자신감 있게 상쾌하고 건강한 입냄새를 만들어보세요. 구강 건강은 단순히 미소만을 위한 것이 아니라, 전반적인 건강에도 큰 영향을 미칩니다. 우리 모두 건강한 생활 습관을 만들어나가는 것에 힘써보아요.
♣ 같이 읽으면 도움 되는 글
손가락 관절염 치료법 및 증상 알아보기
손가락 관절염은 많은 이들이 겪는 일반적인 관절 질병으로, 손가락 관절의 염증과 동반된 통증이 주요 증상입니다. 이로 인해 일상생활에 다소 불편함이 있을 수 있으며, 그 심각도에 따라 치
fourseason100.com
혈액순환에 좋은 음식 7가지
우리가 건강한 몸을 갖고 유지하기 위해서는 면역력이 매우 중요합니다. 그 면역력의 기초가 되는 것은 원활한 혈액의 흐름입니다. 지금 저도 중년의 나이가 돼 가면서 각종 성인병에 노출되고
fourseason100.com
역류성 식도염 증상 알아보기
요즘 같이 가을이 지나고 겨울이 접어들면서 면역력이 약해질 때, 역류성 식도염이 있으신 분들은 증상이 악화될 수 있습니다. 최근 기사에 의하면 요즈음 역류성 식도염으로 인해 어려움을 겪
fourseason100.com