발목이 붓는 현상은 많은 사람들이 경험하는 불편함 중 하나입니다. 저도 최근에 같은 증상으로 고생을 했는데요. 이로 인해 일상생활에 지장을 받거나 불안감을 느끼는 경우가 많습니다.
오늘 글에서는 발목 부종이 발생하는 이유를 이해하고, 적절한 대처 방법을 알게 된다면 이 문제를 효과적으로 해결할 수 있습니다. 아래 내용을 잘 확인하시고 빨리 낫길 기원합니다.
1. 발목이 붓는 주된 이유는?
발목이 붓는 이유는 여러 가지가 있습니다. 가장 일반적인 원인 중 하나는 부상입니다. 운동 중에 발목을 삐거나 과도한 스트레스를 받을 경우, 염증이 생기며 부종이 발생할 수 있습니다.
또한, 혈액순환 문제도 중요한 원인입니다. 장시간 같은 자세로 있거나, 순환이 원활하지 않으면 체액이 고여 부풀어 오를 수 있습니다.
이 외에도 식이요인이 큰 역할을 할 수 있습니다. 나트륨이 많이 포함된 식사를 자주 하면 체내 수분이 과다하게 축적되어 발목이 부풀어 오를 수 있습니다.
마지막으로 질병도 무시할 수 없는 요소입니다. 심장, 신장, 간 등의 문제로 인해 부종이 발생할 수 있으므로, 이러한 질환이 의심되는 경우에는 반드시 전문의의 상담이 필요합니다.
🔽 발목 붓는 영상 바로가기 🔽
2. 발목 부종을 완화하는 방법은?
부종이 발생했을 때는 적절한 대처가 필요합니다. 첫 번째로, 휴식이 중요합니다. 발목에 가해지는 압력을 줄이고 적절한 휴식을 취하는 것이 필수적입니다.
또한, 냉찜질을 통해 부위의 염증과 통증을 줄일 수 있습니다. 얼음팩을 사용하여 15-20분 정도 찜질하면 효과적입니다.
둘째로, 적절한 압박을 고려해 볼 수 있습니다. 압박 스타킹이나 붕대를 사용하면 부종을 줄이는 데 도움이 됩니다. 이러한 방법은 혈액순환을 촉진하고, 체액이 고이는 것을 방지하는 데 효과적입니다.
셋째로, 운동을 통해 혈액순환을 개선할 수 있습니다. 발목에 무리가 가지 않는 선에서 가벼운 스트레칭이나 걷기를 통해 혈액 순환을 원활하게 유지하는 것이 좋습니다.
특히, 다리 올리기를 통해 체액이 빠져나가는 데 도움을 줄 수 있습니다.
🔽 발목 완화 바로가기 🔽
3. 발목 부종이 나타나는 질환 종류는?
발목 부종이 나타날 수 있는 질병에는 여러 가지가 있습니다. 주요 질병은 다음과 같습니다:
1. 심장 질환: 심부전과 같은 심장 관련 질환은 혈액 순환에 문제를 일으켜 발목에 체액이 축적될 수 있습니다.
2. 신장 질환: 신장이 제대로 기능하지 않으면 체내 수분이 과다하게 축적되어 부종이 발생할 수 있습니다. 특히 만성 신부전이 이에 해당합니다.
3. 간 질환: 간경변과 같은 간 질환은 체내 단백질 수치를 낮추어 체액의 순환에 영향을 미치고, 결과적으로 부종을 유발할 수 있습니다.
4. 림프 부종: 림프계의 문제가 발생하면 림프액이 축적되어 부종이 생길 수 있습니다. 이는 수술이나 방사선 치료로 인해 림프관이 손상되었을 때 발생할 수 있습니다.
5. 정맥 insufficiency: 정맥의 기능이 저하되어 혈액이 제대로 순환하지 못하면 발목 부종이 발생할 수 있습니다. 이는 주로 하지정맥류와 관련이 있습니다.
6. 염증성 질환: 류마티스 관절염, 통풍 등 염증성 질환은 발목 부종을 유발할 수 있습니다.
7. 약물 부작용: 특정 약물, 특히 고혈압 약물, 스테로이드 등은 부종을 유발할 수 있습니다.
이와 같이 다양한 질병이 발목 부종의 원인이 될 수 있으며, 증상이 지속되거나 심해질 경우 반드시 전문의의 상담을 받는 것이 중요합니다.
2024 족저 근막염 치료법 (feat. 증상)
발바닥의 아치가 아프고, 장시간 서 있거나 걷기만 해도 통증이 심해진다면, 이는 족저근막염일 수 있습니다. 이는 발의 아치와 발뒤꿈치 부위에 통증을 주는 일반적인 상태로, 대략적으로 사람
fourseason100.com
4. 예방을 위한 생활습관은?
부종을 예방하기 위해서는 건강한 생활습관을 유지하는 것이 중요합니다. 균형 잡힌 식사를 통해 나트륨 섭취를 줄이고, 수분을 충분히 섭취하여 체내 수분 균형을 유지해야 합니다.
또한, 규칙적인 운동을 통해 혈액순환을 개선하고, 장시간 같은 자세로 있지 않도록 신경 써야 합니다.
- 휴식: 부종이 있는 발목을 충분히 쉬게 하여 압력을 줄입니다.
- 냉찜질: 얼음팩 등을 사용하여 부위의 염증과 통증을 완화합니다.
- 압박: 압박 스타킹이나 붕대를 사용하여 부종을 줄이고 혈액순환을 촉진합니다.
- 운동: 가벼운 스트레칭이나 걷기를 통해 혈액순환을 개선합니다.
- 생활습관 개선: 균형 잡힌 식사와 규칙적인 운동으로 나트륨 섭취를 줄이고, 체내 수분 균형을 유지합니다.
5. 발목 부종 관련 검사는?
발목 부종이 있는 경우, 정확한 원인을 파악하기 위해 다음과 같은 검사를 받을 수 있습니다:
1. 신체 검사: 의사가 발목 부종의 상태를 평가하고, 관련 증상을 확인하기 위해 신체검사를 실시합니다.
2. 혈액 검사: 신장 기능, 간 기능, 전해질 수치 등을 확인하기 위한 혈액 검사가 필요할 수 있습니다. 이는 체내의 전반적인 건강 상태를 평가하는 데 도움이 됩니다.
3. 소변 검사: 신장 문제를 확인하기 위해 소변 검사를 통해 단백질이나 기타 이상 소견을 확인할 수 있습니다.
4. 초음파 검사: 발목의 혈관이나 림프관 상태를 평가하기 위해 초음파 검사를 시행할 수 있습니다. 이는 혈전이나 림프 부종을 확인하는 데 유용합니다.
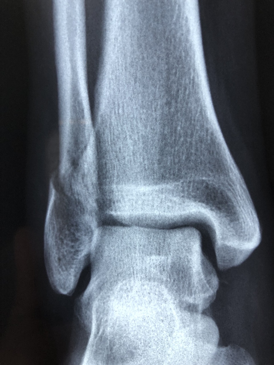
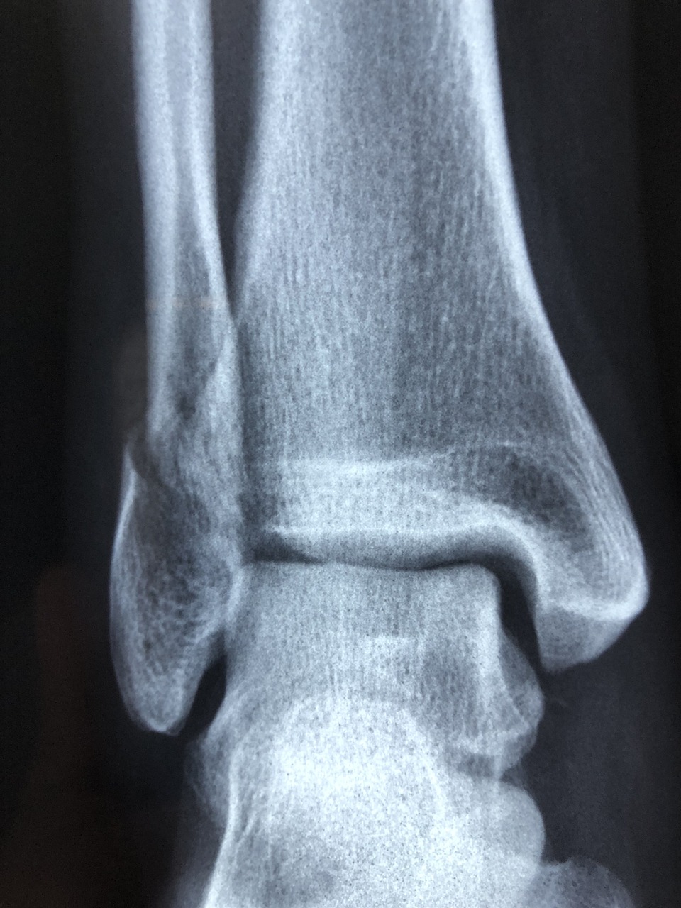
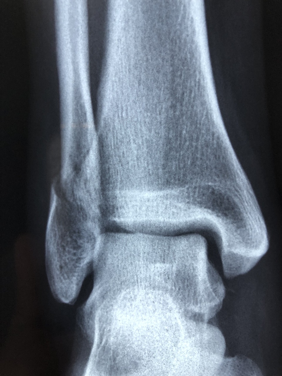
5. X-선 촬영: 발목의 뼈에 손상이 있는지 확인하기 위해 X-선 검사를 실시할 수 있습니다.
6. CT 스캔 또는 MRI: 필요에 따라 더 정밀한 이미징 검사를 통해 발목의 구조적 문제나 염증 상태를 평가할 수 있습니다.
이러한 검사를 통해 발목 부종의 원인을 정확하게 진단하고, 적절한 치료 방안을 모색할 수 있습니다. 증상이 지속되거나 심각해질 경우, 반드시 전문의와 상담하여 검사를 받는 것이 중요합니다.
마무리 글
지금까지 발목이 붓는 이유 및 부종에 대해서 알아보았는데요. 여러 원인 및 증상이 있지만 무엇보다 이동하는데 불편하고 삶의 질을 떨어트린다는 겁니다.
모든 질환이 그렇듯이 초기 증상이 있으면 꼭 정확한 진단과 대처를 통해, 빠른 시간내 치료하시길 바라며 항상 건강하시길 바랍니다.
더 좋은 글
무릎통증 원인 알아보기
무릎이 아픈 경우, 일상생활에 큰 어려움을 겪게 됩니다. 다양한 원인들이 이런 무릎 통증을 초래하는데, 그중에서도 특히 무릎을 과도하게 사용하여 관절에 부담을 주는 경우입니다. 이는 연골
fourseason100.com
어깨통증 원인 (feat. 증상)
어깨는 우리 몸에서 가장 움직임이 많은 관절 중 하나입니다. 이로 인해, 어깨 통증은 일상생활에 큰 불편을 초래할 수 있으며, 다양한 원인으로 인해 발생할 수 있습니다. 오늘 포스팅에서는 어
fourseason100.com
류마티스 관절염 초기증상, 원인, 치료법
오늘은 류머티스 관절염에 대한 초기증상, 원인, 그리고 치료법에 대해 포스팅하도록 하겠습니다. 우선, 관절이란 두 개 이상의 뼈가 연결되어 움직임을 가능케 하는 부위입니다. 이는 연골, 인
fourseason100.com












